Salud

Colesterol

Un estudio advierte que el colesterol daña nuestras arterias mucho antes de lo que se pensaba

Un nuevo estudio revela que el riesgo de padecer ateroesclerosis se presenta desde edades tempranas, remarcando la importancia de controlar el colesterol desde pequeños.

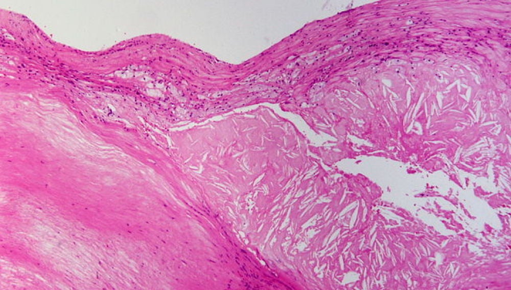
Rellenan celulas con colesterol para el estudio de la aterosclerosisSinc

Un estudio llevado a cabo por científicos de la Universidad de Cambridge, sugiere que la ateroesclerosis, que es una enfermedad que hasta ahora estaba vinculada con personas de mediana edad, puede empezar a desarrollarse mucho antes, incluso desde la infancia.

La ateroesclerosis es una enfermedad crónica que consiste en la acumulación de placas de grasa en las paredes de las arterias. Este proceso reduce el flujo sanguíneo y provoca la pérdida de flexibilidad arterial, lo que puede desencadenar graves problemas de salud, como infartos y accidentes cerebrovasculares. A nivel mundial, la ateroesclerosis es una de las principales causas de mortalidad cardiovascular.

Proceso y resultados del estudio

El colesterol es el principal componente de las placas que se acumulan en las arterias. Por ello, controlar sus niveles en sangre es fundamental para prevenir la progresión de la enfermedad. Sin embargo, el estudio revela que no basta con reducir los niveles de colesterol de forma puntual. Los investigadores destacan que es necesario mantener una vigilancia constante, incluso en las etapas más tempranas de la vida.

Uno de los hallazgos más importantes del estudio es que el riesgo de desarrollar ateroesclerosis comienza mucho antes de lo que se pensaba. Anteriormente, la enfermedad se consideraba un problema que surgía a partir de la mediana edad, cuando los niveles de colesterol tienden a aumentar. Sin embargo, los datos recogidos en esta investigación indican que los altos niveles de colesterol durante la infancia y juventud son igualmente peligrosos.

Los investigadores del equipo dirigido por el profesor Ziad Mallat, del Instituto Victor Phillip Dahdaleh para la Investigación del Corazón y Pulmón, realizaron un experimento con modelos de ratón. En lugar de exponer a los ratones a una dieta alta en grasas de forma continua, decidieron variar los periodos de consumo de grasas, simulando fluctuaciones en los niveles de colesterol. Descubrieron que estas fluctuaciones eran más dañinas para la salud cardiovascular que los niveles consistentemente altos.

Los resultados obtenidos en ratones se corroboraron al analizar datos de más de 2.000 participantes humanos en el Young Finns Study, un estudio longitudinal sobre el riesgo cardiovascular. En este análisis, se observó que aquellos que habían tenido altos niveles de colesterol en la infancia presentaban una mayor acumulación de placas en las arterias a los 30 y 50 años. Este hallazgo subraya la importancia de mantener niveles bajos de colesterol desde una edad temprana para reducir el riesgo de desarrollar ateroesclerosis.

El profesor Mallat advirtió que el tratamiento intermitente con estatinas, un medicamento comúnmente utilizado para reducir el colesterol, podría no ser suficiente para prevenir la ateroesclerosis. Las fluctuaciones en los niveles de colesterol pueden generar un efecto "yo-yo" que, lejos de ayudar, podría empeorar la situación. Este comportamiento irregular parece influir negativamente en el funcionamiento de unas células del sistema inmunológico, los macrófagos, que normalmente se encargan de limpiar las arterias. Cuando los niveles de colesterol oscilan, los macrófagos cambian su comportamiento, pasando de ser beneficiosos a contribuir a la acumulación de grasa en las arterias.

Client Challenge

Síguenos en nuestro canal de WhatsApp y no te pierdas la última hora y toda la actualidad de antena3noticias.com.

Client Challenge