HALLADA POR CIENTÍFICOS RUSOS

Encuentran en Siberia una bacteria que sobreviviría en Marte

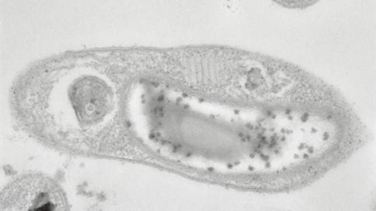
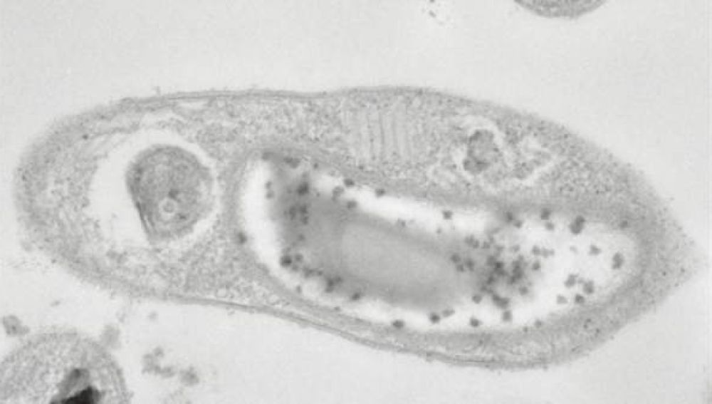
Los investigadores rusos han sido los primeros en descubrir el 'Desulforudis audaxviator' en aguas subterráneas de una fuente termal situada en los bosques siberianos al norte de la ciudad de Tomsk.

Descubren en Siberia la buscada bacteria capaz de vivir en MarteUniversidad Estatal de Tomsk

Una bacteria que sobrevive sin luz ni oxígeno, buscada en todo el mundo tras identificarse su ADN hace 10 años en una mina de oro sudafricana, ha sido finalmente hallada por científicos rusos.

"Los microbiólogos de la TSU (Universidad Estatal de Tomsk) detectaron por primera vez la bacteria Desulforudis audaxviator en aguas subterráneas en las profundidades de la Tierra", informó la Universidad en un comunicado.

La institución indicó que científicos de muchos países tratan de hallar la bacteria desde hace más de diez años.

"El enorme interés se debe a la capacidad del microorganismo para obtener energía en ausencia de oxígeno y en oscuridad total. Teóricamente puede demostrar que la vida en otro planeta es posible, por ejemplo en Marte", remarcó la TSU, citada por sputniknews.

Olga Karnachuk, responsable del departamento de fisiología vegetal y biotecnología de al TSU, aclaró que hace más de diez años investigadores estadounidenses hallaron el ADN de la bacteria a 2,8 kilómetros de profundidad en una mina de oro en Sudáfrica. "Hasta hace poco se consideraba que la vida en esas condiciones era imposible ya que sin luz no se produce la fotosíntesis, un proceso fundamental en todas las cadenas alimenticias. Pero resultó que esa hipótesis era errónea", enfatizó Karnachuk.

En la TSU señalaron que tras la publicación de un artículo de los estudiosos norteamericanos en la revista 'Science', científicos de diversos países empezaron a buscar la bacteria. Su ADN fue identificado en Finlandia y Estados Unidos, pero el propio microorganismo no fue hallado.

Los investigadores rusos han sido los primeros en descubrir el 'Desulforudis audaxviator' en aguas subterráneas de una fuente termal situada en los bosques siberianos al norte de la ciudad de Tomsk.

'Desulforudis audaxviator' es una de las bacterias más antiguas que habitan nuestro planeta y se caracteriza por sobrevivir sin oxígeno y obtener energía a partir de sulfatos y la oxidación del hidrógeno o compuestos orgánicos.

También te puede interesar...

Así es la 'puesta de la Luna' desde la Estación Espacial Internacional